首页
沈美简介
沈美动态
医护团队
特色诊疗
加入我们
联系我们
沈美动态
全国连锁·源自台湾 沈阳医学院教学基地
2026
2025
2024
2023
2022
2021
2020
2019
2018
2017
2016
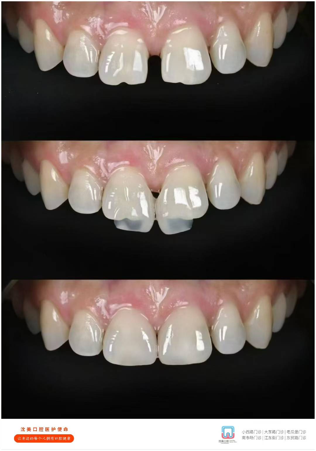
牙齿稀疏,牙缝大,牙齿黄,过小牙,牙齿轻度不齐,都可以通过瓷贴面修复来改善。
沈阳 2025.07.15
牙齿稀疏,牙缝大,牙齿黄,过小牙,牙齿轻度不齐,都可以通过瓷贴面修复来改善。
沈美,感动常在!
<
牙齿稀疏,牙缝大,牙齿黄,过小牙,牙齿轻度不齐,都可以通过瓷贴面修复来改善。
上一篇
【老瓜堡门诊部】“牙科仙人 拔我智齿,稳得一批 确实牛逼,你是我的神!”——郝敬宇医生,赵紫涵护士获患者赠送锦旗。
下一篇
>